Յուինգի սարկոման Յուինգի սարկոմայի ընտանիքի ուռուցքներին պատկանող քաղցկեղի մի տեսակ է, որն ախտահարում է ոսկրերը կամ հարակից փափուկ հյուսվածքները:
Քաղցկեղն ի հայտ է գալիս, երբ առողջ բջիջները փոփոխության են ենթարկվում և սկսում են անկառավարելի բաժանվել՝ առաջացնելով զանգված, գոյացություն:
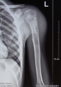
Բազկոսկրի Յուինգի սարկոմա (չարորակ) ունեցող 6-ամյա աղջնակի մոտ վիրահատական միջամտությունից հետո պահպանվել է վերին վերջույթը:
Երեխան նաև քիմիաթերապիայի 7 կուրս է անցել:
Վիրահատությունը Մանկական վնասվածքաբանության և օրթոպեդիայի կլինիկայի ղեկավար, «Մուրացան» ամալսարանական հիվանդանոցի գլխավոր բժշկի տեղակալ Արարատ Նազանյանը կատարել է «Նաիրի» բժշկական կենտրոնի ոսկրային օնկոլոգիայի կլինիկայի ղեկավար Գալուստ Գալստյանի հետ համատեղ:
Բժիշկ Նազանյանը նշում է, որ նման դեպքերը հաճախ չեն լինում: Յուինգի սարկոմա ունեցող պացիենտն իր պրակտիկայում հանդիպած երրորդ դեպքն է:
Նոյեմբերի 4-ին պացիենտը դուրս է գրվել համալսարանական հիվանդանոցից: Բժիշկները վիճակը գնահատում են բավարար:




