Երեխաների մոտ տեղաշարժով կոտրվածքները կարող են հաջողությամբ բուժվել պահպանողական մեթոդներով` օգտագործելով տիտանե էլաստիկ մեխեր:
Կլինիկական և ռադիոլոգիական հետազոտությունների տվյալները հաստատում են երեխայի մարմնի բարձր վերականգնողական կարողությունները, սակայն վերականգնողական ներուժն անսահմանափակ չէ, և ոսկրային բեկորների ոչ լրիվ համադրումից հետո մնացած բոլոր տեսակի դեֆորմացիաները կարող են չշտկվել տարիքի հետ: Երեխաների մոտ կոտրվածքների վիրաբուժական բուժման բժշկական ցուցումները կախված են կոտրվածքների բնույթից, տեղակայությունից և երեխաների տարիքից: Վիրահատական միջամտության ցուցումները ընդլայնվում են, կախված պացիենտի տարիքի մեծացման հետ:
Ներկայումս թե՛ բժշկական, թե՛ սոցիալ-տնտեսական տեսանկյունից ամենաարդյունավետ վիրաբուժական մեթոդը ինտրամեդուլյար մեխերով օստեոսինթեզն է։
«Մուրացան» համալսարանական հիվանդանոցի Վնասվածքաբանության և օրթոպեդիայի ծառայության ղեկավար, Ողնաշարային վիրաբուժության, մանկական օրթոպեդիայի և վնասվածքաբանության ամբիոնի դասախոս Արարատ Նազանյանի ուսումնասիրության նպատակն էր վերլուծել ինտրամեդուլյար էլաստիկ մեխերով օստեոսինթեզի օգտագործման սեփական փորձը մանկական վնասվածքաբանության մեջ և կատարել համապատասխան եզրակացություններ։
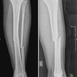
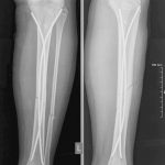
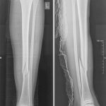
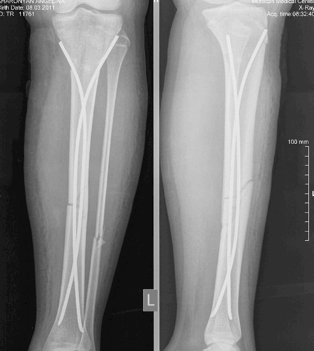
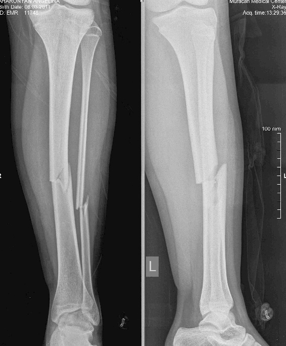
Այս ուսումնասիրությունը հիմնված է 21 հիվանդների (17 տղա, 4 աղջիկ) շարունակական խմբի բուժման արդյունքների վերլուծության վրա, որոնք ենթարկվել են տիտանե էլաստիկ մեխերով վիրահատության։ Հիվանդների տարիքը եղել է 4 տարեկանից մինչև 16 տարեկան։ 9 երեխայի մոտ կոտրվածքի պատճառ է հանդիսացել ձեռքի վրա անկումը, մնացածի մոտ կոտրվածքն առաջացել է վերջույթի ոլորման արդյունքում, վնասվածքի մեխանիզմը եղել է ուղիղ: 19 դեպքերում կոտրվածքները եղել են փակ, իսկ 2 դեպքում՝ բաց։ Ըստ վնասվածքի տեղայնացման՝ դրանք եղել են դիաֆիզար կոտրվածքներ (15 դեպք), պրոքսիմալ մետաֆիզի մակարդակի կոտրվածք (3 դեպք) և հեռավոր մետաֆիզի՝ (3 դեպք): Կոտրվածքային գծի բնույթի համաձայն՝ դիաֆիզային կոտրվածքներից հայտնաբերվել են 6 լայնակի, 4 թեք, 5 պտուտակաձև։ Մի տղայի մոտ (4 տարեկան), որի մոտ առկա էր սրունքի մ/3-ի բաց թեք կոտրվածք տեղաշարժով և մաշկի մինուս հյուսվածքներով, կատարվել է նաև վերքերի առաջնային վիրաբուժական մշակում և կարում՝ ռետինյա արտաթորիչներով։ Սակայն մի քանի շաբաթ անց սկսվել է մաշկի նեկրոզ։ Այդ իսկ կապակցությամբ կատարվել է երկրորդ վիրահատական միջամտությունը։ Կատարվել է մաշկի աուտոտրանսպլանտացիա։ Մաշկի կտորները վերցվել են առողջ ազդրի առաջային մակերեսից: (Նկ 1)
Այս խմբում վիրաբուժական բուժման ցուցումները հետևյալն էին՝ կոտրվածքի անկայուն բնույթ, հատկապես, երբ կոտրվածքները տեղայնացված են բազկի, ազդրի սրունքի կամ նախաբազկի դիաֆիզար հատվածներում և ունեն լայնակի բնույթ։
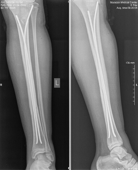
Օգտագործված մեթոդները համահունչ էին հեղինակների նկարագրած վիրաբուժական տեխնիկայի հետ: Հիմնական սկզբունքներն էին՝ ձողերի տրամագիծը, որը համապատասխանում է մեդուլյար լուսանցքի տրամագծի 30-40% -ին, ձողերի թեքությունները նույնական են, բայց հակառակ ուղղորդված և տեղակայված են կոտրվածքի մակարդակում, հարմարեցված վիրաբուժական գործիքների օգտագործումը:
Գնահատված ցուցանիշներն էին՝ վիրաբուժական միջամտության տեխնիկան և տևողությունը, իմպլանտի պարամետրերը, հոսպիտալացման տևողությունը, բեկորների տեղաշարժի ճառագայթային ցուցիչները անմիջապես հետվիրահատական և հետագա շրջանում, հետվիրահատական շրջանում երեխայի շարժումների և ակտիվության վերականգնման ժամանակը և բարդությունները:
ԱՐԴՅՈՒՆՔՆԵՐ
Վնասվածքից հետո առաջին օրվա ընթացքում վիրահատվել է 10 երեխա, 2-3-րդ օրը՝ 8 երեխա, իսկ վնասվածքից ավելի քան 3 օր անց՝ 3 երեխա։ Վիրահատության միջին տևողությունը կազմել է 60 րոպե։ Հոսպիտալացման տևողությունը միջինը կազմել է 3 օր: Ցավային սինդրոմը թեթևացել է վիրահատությունից հետո 3-7-րդ օրը, ինչը հնարավորություն է տվել ակտիվ շարժումներ սկսել հարակից հոդերի վրա՝ առանց լրացուցիչ բեռի:
Երեխաները վիրահատված վերջույթը սկսել են օգտագործել առօրյա կյանքում (սնվել, հագնվել, հիգիենայի պարագաներ օգտագործել) օստեոսինթեզից 10-12 օր հետո։ Դպրոց հաճախելը վերսկսվել է հիվանդանոցից դուրս գրվելուց 7-10 օր հետո: Վիրահատված վերջույթի շարժման տիրույթի ամբողջական վերականգնում նկատվել է բոլոր երեխաների մոտ վիրահատական բուժումից 4-5 շաբաթ անց՝ անկախ կոտրվածքի բնույթից։ Սպորտին վերադարձը տեղի է ունեցել վիրահատությունից հետո 6 շաբաթից մինչև 3 ամիս ընկած ժամանակահատվածում՝ կախված սպորտի տեսակից և կոտրվածքի բնույթից։ Ինտրամեդուլյար մեխերի հեռացումը կատարվել է 15 դեպքերում օստեոսինթեզից 6 և ավելի ամիս անց, իսկ մնացած դեպքերում 12 ամիս անց։ Իմպլանտը հեռացվել է ընդհանուր անզգայացման տակ։ Իմպլանտի հեռացման ընթացքում կամ դրանից հետո բարդություններ չեն եղել: Բուժման ավարտից և իմպլանտների հեռացումից հետո հիվանդների արդյունքները գնահատելիս բոլոր դեպքերում գրանցվել է գերազանց արդյունք։ Հանդիպած բարդություններից եղել է 2 դեպք։ Մեկը՝ մաշկի նեկրոզ, որը պայմանավորված էր մեծ վերքի առկայությամբ կապված վնասվածքի բնույթից (ավտովրաերթ), և երկրորդը՝ ձողով մաշկի պերֆորացիա և թարախակալում։
ՔՆՆԱՐԿՈՒՄ
Երեխաների մոտ դիաֆիզային կոտրվածքների դեպքում օգտագործվում են բուժման պահպանողական և վիրաբուժական մեթոդներ։ Հեղինակների մեծ մասը համաձայն է, որ պահպանողական մեթոդը արդյունավետ է մինչև 5 տարեկան երեխաների բուժման համար և նախընտրելի է փակ համադրումից և գիպսային անշարժացումից հետո: Վիրաբուժական բուժումը ցուցված է խոշոր խողողակավոր ոսկրերի հատկապես դիաֆիզար, անկայուն կոտրվածքների, երկրորդական տեղաշարժերի, պոլիտրավմայի և 5 տարեկանից բարձր երեխաների դեպքում: Ներկայումս վիրաբուժական բուժման ընտրության մեթոդը, որն ապացուցել է իր արդյունավետությունը՝ տիտանե էլաստիկ ինտրամեդուլյար կայուն օստեոսինթեզն է։ Այս մեթոդի առավելություններից կարելի է նշել հետևյալը՝ նվազագույն ինվազիվությունը, համադրման ճշգրտությունը, ֆունկցիոնալությունը, վերջույթների տարբեր տեսակի կոտրվածքների դեպքում շուտ, արագ և արդյունավետ օգտագործելու հնարավորությունը, արտաքին անշարժացման բացակայությունը և երեխաների արագ վերադարձը իրենց սովորական կենսապայմաններ:
Նշենք, որ հետազոտություններում տիտանե առաձգական ինտրամեդուլյար մեխերով օստեոսինթեզի կիրառման փորձը դրական է։ Հնարավոր բարդությունները կանխելու համար պետք է ուշադիր հետևել վիրաբուժական տեխնիկային:










